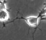
Neurons growing in a cell culture
These time lapse animations use phase contrast microscopy to show neural stem cells in a nutrient medium for 4 hours. They reveal the dynamic growth and recycling of dendrites and synapses as neurons establish relationships with each other. The social behavior of these cells creates the incredible properties of the mind and brain.
Credit: University of Victoria Medical Sciences
Your brain is doing this RIGHT NOW. Re-wiring as you remember something or learn something, constantly changing.





